A colorless, nonflammable, virtually odorless gas, nitrous oxide is widely used in medicine and dentistry for its anxiolytic, analgesic, and amnesic properties.
Often times patients present with an immediate concern, however other underlying problems may exist that might also need to be addressed in order to fully resolve the issue.
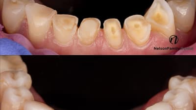
This article presents a clinical case of a comprehensive full-mouth rehabilitation in a 26-yearold female patient with an anterior open bite and accompanying mild chronic generalized periodontitis.
Quantium offers smooth handling without stickiness to the instruments, excellent sculptability, and strong physical properties that support both anterior and posterior applications.
Besides its shade-matching capabilities, OMNICHROMA simplifi es workfl ow, Nelson says, by reducing shade selection, inventory, and what he calls “decision fatigue.”