Markus B. Blatz, DMD, PhD; Julian Conejo, DDS, MSc
As zirconia is progressively considered the material of choice for indirect all-ceramic restorations, the question of how to cement and bond zirconia becomes increasingly important. Zirconia (zirconium dioxide), used in dentistry predominantly as yttria-stabilized tetragonal zirconia polycrystals (Y-TZP), is applied for a large variety of clinical indications, from single crowns to full-mouth implant-supported rehabilitations, with high clinical success.1-4
Zirconia traditionally has been used as a coping and framework material veneered with matching veneering porcelains; however, newer, more esthetic formulations and especially high-translucent products have contributed to the popularity of monolithic full-contour zirconia restorations that do not require veneering with porcelain. Pre-shaded, multi-layer, high-translucent zirconia materials (eg, Katana™ STML and Katana™ UTML, Kuraray Noritake Dental, kuraraynoritake.com) provide a wide range of esthetic possibilities, specifically for anterior teeth and partial-coverage restorations such as onlays and laminate veneers.5 The larger amount of cubic-phase particles offers significantly greater light transmission but lower physical strength than conventional zirconia.
Ceramics: Cementing or Bonding?
Due to inherent brittleness, the behavior of ceramics in the oral cavity under functional stress is very different from metals. Excessive forces and surface damages may lead to fractures and cracks. Adhesive bonding with composite resins and proper treatment of the abutment tooth and the ceramic bonding surface increase fracture resistance of ceramic restorations, improve retention, and reduce microleakage.6 Clinical and laboratory bonding protocols depend on the type, composition, and properties of the ceramic.6 Silica-based ceramics (eg, feldspathic, leucite-reinforced, and lithium silicate) should always be resin-bonded and treated with acid-etching and silane coupling-agent application.6
High-strength, metal-oxide-based ceramics, such as alumina and zirconia, are considered cementable, due to their high flexural strength. Zirconia-based crowns and bridges with adequate retention and ceramic material thickness can, therefore, be cemented conventionally without many technique-sensitive bonding steps. However, in situations of limited mechanical retention and for restorations that rely on resin bonding (eg, resin-bonded fixed partial prostheses, bonded inlays/onlays, or laminate veneers), cementation even with self-adhesive resin cements may not be sufficient. In-vitro studies and systematic reviews are in strong agreement that a combined micromechanical and chemical pretreatment is necessary for long-term durable resin bonds to zirconia.7,8 Air-particle abrasion with Al2O3 is both effective and practical to provide long-term durable bond strengths to high-strength ceramics. A ceramic primer that contains special adhesive monomers is necessary because conventional silane coupling agents cannot bond to metal-oxide ceramics. Probably the most frequently used, effective, and successful such monomer is 10-methacryloyloxydecyl dihydrogen phosphate (MDP).5-8
Self-Adhesive Resin Cements for Zirconia
Ease of use and peace of mind are the main reasons for the popularity of self-adhesive resin cements. They handle like conventional cements but provide good bond strengths to the restorative material and tooth structures. Several laboratory and clinical studies have demonstrated the superiority of self-adhesive resin over conventional cements, such as zinc phosphate, for definitive insertion of high-strength ceramic crowns and bridges.9,10 One clinical study found the incidence of zirconia crown loosening to be twice as high with zinc-phosphate cement as with self-adhesive resin cement.10 A recent review of the effect of resin bonding on long-term success of high-strength ceramics also suggests self-adhesive resin cements for zirconia restorations that do not require bonding.11
PANAVIA™ SA Cement Plus
The award-winning first generation of PANAVIA™ SA Cement (Kuraray Noritake Dental) demonstrated high-quality properties and reliable bond strength.12 Clinicians have lauded its ease in clinical handling.13 The improved PANAVIA™ SA Cement Plus is a dual-cure, fluoride-releasing, self-adhesive resin cement, offered in the convenient Automix (Figure 1) or the more economical Handmix syringe. It provides improved bond strengths to natural teeth and all popular materials, such as metal alloys, lithium silicates, and zirconia. Laboratory studies of the new formulation conducted by the manufacturer indicate 35% higher bond strengths to dentin and 15% higher to enamel. They also indicate that a new radical amplifier shortens necessary curing time to 10 seconds while reaching a higher polymerization conversion rate. A small, rotating, automixing endodontic tip with a long and fine nozzle is available for PANAVIA™ SA Cement Plus for precise application into post spaces.
The shelf life of self-adhesive resin cements is dependent on storage conditions and temperatures; typically, refrigeration is required.14 PANAVIA™ SA Cement Plus was reformulated and can be stored at room temperature.
PANAVIA™ SA Cement Plus is an ideal everyday cement for zirconia crowns and bridges. It has a high concentration of MDP to provide high bond strength to zirconia and natural teeth without additional surface treatment. Esthetic outcomes of ceramic restorations are typically influenced by the shade of the cement used for definitive insertion. PANAVIA™ SA Cement Plus comes in three shades: universal(which correlates with shade Vita A2); white; and as a new addition to this line, translucent.
The clinical application is fast and simple. The restora-tion is cleaned, filled with cement (Figure 2), and placed on the abutment tooth (Figure 3). The cement is light-cured for 2 to 5 seconds or self-cured, which takes 2 to 4 minutes. Isolation of the site should be maintained for 5 minutes. Figure 4 depicts a porcelain-fused-to-zirconia (PFZ) crown after cementation with PANAVIA™ SA Cement Plus. To increase bond strengths even further, PANAVIA™ SA Cement Plus can be used in combination with the new, easy-to-use universal bonding agent CLEARFIL™ Universal Bond Quick (Kuraray Noritake Dental).
CLEARFIL™ Universal Bond Quick
This new universal, fluoride-releasing, single-bottle adhesive features a unique property termed Rapid Bond Technology. It combines the long-term proven MDP with Amide chemistry, which permeates dentin and enamel very rapidly. Working and waiting times are significantly reduced, which minimizes the risk of contamination during application and diminishes technique sensitivity without affecting bond strength. CLEARFIL™ Universal Bond Quick (Figure 5) is a truly universal bonding agent for direct restorative composite resins and core buildup materials, as well as indirect restorative materials, including zirconia and silica-based ceramics (eg, lithium disilicate). Besides MDP, which facilitates the chemical bond to zirconia and metal oxides, it also contains a silane to facilitate adhesive bonds to silicate ceramics.
CLEARFIL™ Universal Bond Quick can be combined with any enamel etching technique: as a self-etch bonding agent without phosphoric acid, selective-etch of just the enamel, or total-etch with application of phosphoric acid to enamel and dentin. When used with PANAVIA™ SA Cement Plus, it can be light- or self-cured.
Cementation of zirconia restorations with these two materials is predictable, simple, and fast. The intaglio surface of the restoration is pretreated, typically by air-particle abrasion with aluminum oxide. The tooth is pretreated with the preferred etching technique before CLEARFIL™ Universal Bond Quick is applied with a rubbing motion and blown dry for about 5 seconds until the bonding agent does not move anymore. Light-curing of the bonding agent is not necessary, and the restoration, loaded with PANAVIA™ SA Cement Plus, can be directly placed onto the abutment tooth.
Bonding to Zirconia: The APC Technique
There are several indications for which zirconia restorations benefit from resin bonding: restorations that are less strong or thin, lack retention, or rely on resin bonding, such as resin-bonded fixed partial prostheses, onlays, or laminate veneers.5,6,11,15 Strong and long-term, durable resin bonds are only achieved after surface pretreatment with air-particle abrasion, specific primers containing adhesive phosphate monomers (eg, MDP), and a composite-resin luting agent.5,11,16,17 The authors termed this three-step approach the APC Zirconia Bonding Technique.5
APC Step A: Air-particle abrasion
After restoration cleaning, zirconia should be air-particle abraded with alumina particles, for example with a chairside micro-etcher. Small particles (50 to 60 μm) at a low pressure (below 2 bar) is sufficient.
APC Step P: Primer
This subsequent step includes application of a special ceramic primer. The monomer MDP has been shown to be particularly effective to bond to metal oxides.5,8,9,12
APC Step C: Composite resin
Dual- or self-cure composite resins, such as PANAVIA™, should be used to ensure adequate polymerization.
PANAVIA™ V5
The PANAVIA™ resin-cement line has been widely acclaimed.5,6 The fifth-generation PANAVIA™ V5 adhesive-resin system (Figure 6) is not just a slight update of previous versions: it features fundamental changes and improvements, including simplified procedures, improved esthetics, and increased adhesion performance. Termed the "one simple and esthetic cement for all your needs," this fluoride-releasing, dual-cure, color-stable, universal resin cement is supplied in one system with two bonding agents: PANAVIA™ V5 Tooth Primer and CLEARFIL™ Ceramic Primer Plus.
The single-bottle primer CLEARFIL™ Ceramic Primer Plus contains the MDP adhesive monomer as well as a silane monomer. It, therefore, provides high bond strengths to all indirect restorative materials, from zirconia ceramics, metal alloys, and composites to silica-based ceramics, such as feldspathic porcelain and lithium silicates. It is simply applied to the intaglio restoration surface after adequate pretreatment through air-particle abrasion (zirconia) or acid-etching (silicate ceramics).
The new PANAVIA™ V5 Tooth Primer is a self-cure and self-adhesive MDP-based bonding agent with, according to the manufacturer, exceptional bond-strength values that are in the range of the "gold standard" light-cure bonding agent CLEARFIL™ SE Bond. The tooth primer is agitated on the tooth surface for 20 seconds and is then dried before the restoration, loaded with PANAVIA™ V5, is placed. For easy removal of excess cement in a doughy stage, the resin cement can be tack-cured for 3 to 5 seconds before complete polymerization.
PANAVIA™ V5 is available in five shades. Unlike most other dual-cure composite-resin cements, its amine-free composition ensures long-term color stability and natural fluorescence. The five shades range from clear, white, and universal (Vita shade A2) to brown (A4) and opaque, which is self-cure only. PANAVIA™ V5 resin cement itself does not contain MDP, because it is used in combination with the MDP-containing tooth and ceramic primers.
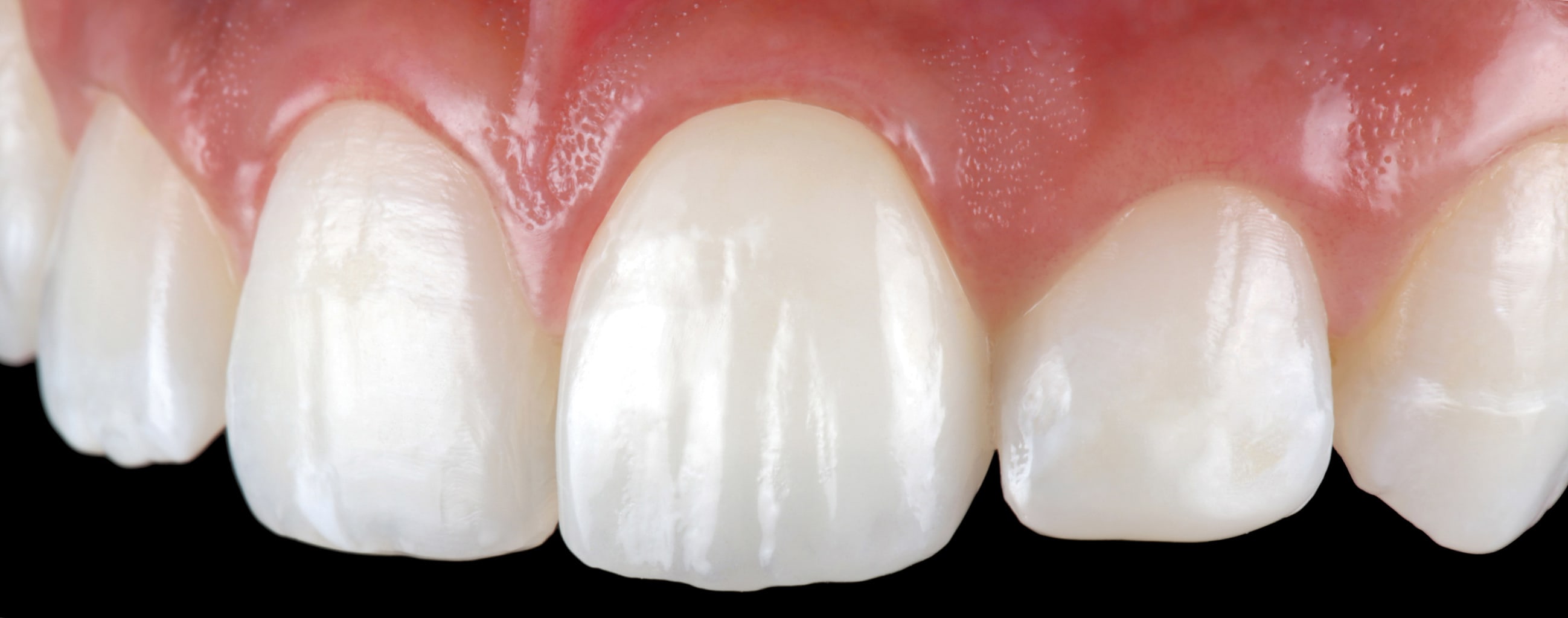
Figure 7 and Figure 8 depict restoration of a central incisor with a full-contour zirconia crown cemented with the PANAVIA™ V5 adhesive-resin system.
Conclusions
The long-term clinical success of zirconia restorations relies on proper cementation and bonding protocols with materials that provide high and long-term durable bond strengths. PANAVIA™ SA Cement Plus combines ease-of-use cementation with reliable bond strengths for the majority of clinical cases. Bond strength can be further improved with the universal bonding agent CLEARFIL™ Universal Bond Quick. The PANAVIA™ V5 adhesive-resin system provides all the advantages of a true composite-resin cement when bonding is desired and for onlays, laminate veneers, and resin-bonded fixed partial prostheses. It is an easy-to-use system, featuring new and improved tooth and ceramic primers that ensure the best possible long-lasting esthetic and functional outcomes.
About the Authors
Markus B. Blatz,DMD, PhD
Professor of RestorativeDentistry and Chair, Department of Preventive and Restorative Sciences, School of Dental Medicine, University of Pennsylvania, Philadelphia, Pennsylvania
Julian Conejo,DDS, MSc
Instructor, Department of Preventive and Restorative Sciences, School of Dental Medicine, University of Pennsylvania, Philadelphia, Pennsylvania
References
1. Conejo J, Nueesch R, Vonderheide M, Blatz MB. Clinical performance of all-ceramic restorations. Curr Oral Health Rep. 2017;4
(2):112-123.
2. Komine F, Blatz MB, Matsumura H. Current status of zirconia-based fixed restorations. J Oral Sci. 2010;52(4);531-539.
3. Ozer F, Mante FK, Chiche G, et al. A retrospective survey on long-term survival of posterior zirconia and porcelain-fused-to-metal crowns in private practice. Quintessence Int. 2014;45(1):31-38.
4. Takeichi T, Katsoulis J, Blatz MB. Clinical outcome of single porcelain-fused-to-zirconium dioxide crowns: a systematic review. J Prosthet Dent. 2013;110(6):455-461.
5.Blatz MB, Alvarez M, Sawyer K, Brindis M. How to bond to zirconia: the APC concept. Compend Contin Educ Dent. 2016;37(9):611-618.
6.Blatz MB, Sadan A, Kern M. Resin-ceramic bonding: a review of the literature. J Prosthet Dent. 2003;89(3):268-274.
7. Özcan M, Bernasconi M. Adhesion to zirconia used for dental restorations: a systematic review and meta-analysis. J Adhes Dent. 2015;
17(1):7-26.
8. Inokoshi M, De Munck J, Minakuchi S, Van Meerbeek B. Meta-analysis of bonding effectiveness to zirconia ceramics. J Dent Res. 2014;93(4):
329-334.
9. Blatz MB, Oppes S, Chiche G, et al. Influence of cementation technique on fracture strength and leakage of alumina all-ceramic crowns after cyclic loading. Quintessence Int. 2008;39(1):23-32.
10. Ortorp A, Kihl ML, Carlsson GE. A 5-year retrospective study of survival of zirconia single crowns fitted in a private clinical setting. J Dent. 2012;40(6):527-530.
11. Blatz MB, Vonderheide M, Conejo J. The effect of resin bonding on long-term success of high-strength ceramics. J Dent Res. 2018;97
(2):132-139.
12. Blatz MB, Phark JH, Ozer F, et al. In vitro comparative bond strength of contemporary self-adhesive resin cements to zirconium oxide ceramic with and without air-particle abrasion. Clin Oral Investig. 2010;14(2):187-192.
13. Blatz MB, Bergler M. Clinical application of a new self-adhesive resin cement for zirconium-oxide ceramic crowns. Compend Contin Educ Dent. 2012;33(10):776-781.
14. Ozer F, Ovecoglu HS, Daneshmehr L, et al. Effect of storage temperature on the shelf life of self-adhesive resin cements. J Adhes Dent. 2015;17(6):545-550.
15. Maggio MP, Bergler M, Kerrigan D, Blatz MB. Treatment of maxillary lateral incisor agenesis with zirconia-based all-ceramic resin bonded fixed partial dentures: a case report. Am J Esthet Dent.2012;2(4):226-237.
16. Blatz MB, Sadan A, Martin J, Lang B. In vitro evaluation of shear bond strengths of resin to densely-sintered high-purity zirconium-oxide ceramic after long-term storage and thermal cycling. J Prosthet Dent. 2004;91(4):356-362.
17. Blatz MB, Chiche G, Holst S, Sadan A. Influence of surface treatment and simulated aging on bond strengths of luting agents to zirconia. Quintessence Int. 2007;38(9):745-753.