Business of Dentistry Dental Internet Marketing By Clint Macklin, Jessica Espinoza October 01, 2011 7 min read
Continuing Education Horizontal Alveolar Ridge Augmentation: the Importance of Space Maintenance October 01, 2011
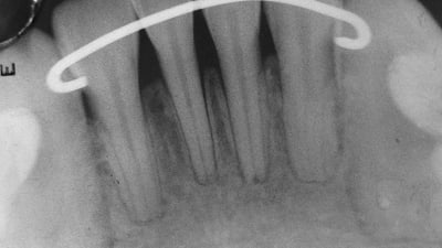
Continuing Education The Clinical Significance of Keratinized Gingiva around Dental Implants By Gary Greenstein, DDS, John Cavallaro, DDS October 01, 2011
Case Reports Case Studies Mucogingival Considerations Following Orthodontic Therapy: A Case Report By Jyoti Gupta, MDS, Rashi Chaturvedi, MDS, Tarun Das, MDS October 01, 2011 11 min read
Kois Center Case Implant-Assisted Overdenture: A Case Report By Douglas E. McMaster, DDS October 01, 2011 11 min read
Online Only Online Only Peripheral Odontogenic Fibroma Associated with a Dilacerated Maxillary Central Incisor: A Case Report By Srinivas Sulugodu Ramachandra, BDSMDS, Umesh Chandra Prasad, MDS, Vidya Baliga, MDS October 01, 2011 8 min read
Online Only Online Only Bridging the Gap Between Osteoporosis and Osteonecrosis of the Jaw: Preventing and Treating BRONJ with MK4 By John Neustadt, ND, Steve Pieczenik, MD October 01, 2011 22 min read
Research Update Long-Term Use of 6.5% Hydrogen Peroxide Bleaching Strips on Tetracycline Stain: A Clinical Study By Britta Magnuson, DMD, Gerard Kugel, DMD, Robert W. Gerlach, DDS, Susana Ferreira, DDSDMD October 01, 2011 16 min read
Special Report Elastomeric Impression Materials: Factors to Consider By Gregg A. Helvey, DDSDDS October 01, 2011 7 min read
Special Report Clinicians’ Needs Drive Centrix’s Product Innovations October 01, 2011 4 min read
Practical Application Case Studies Custom Shade Matching: Fine-Tuning and Patient Communication Lead to Success By Luke S. Khang, CDT October 01, 2011 14 min read