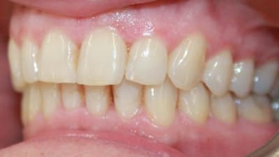
WIth proper patient compliance, ClearCorrect adult orthodontic therapy can achieve excellent class II correction and esthetic improvement using a non-invasive, aligner-based approach.
ClearCorrect's advanced material properties, digital planning tools, and precise movement control allow for comprehensive class II correction in an accelerated timeframe with minimal auxiliaries and excellent patient compliance.
In addition to exceptional color matching, OMNICHROMA single-shade universal composite offers strength, durability, versatility, and high polishability, along with excellent physical-mechanical properties.
This article offers a comprehensive overview of the state of orthodontics, aligners, and sleep appliances, with a forward-looking perspective on future innovations.
Knowing there are numerous clear aligner products to choose from, Chichetti, a frequent speaker at continuing dental education seminars and symposiums, is sold on SureSmile® Clear Aligners from Dentsply Sirona
Orthodontic therapy is currently the only specialty in dentistry in which a significant portion of treatment can be performed virtually. This case report highlights the successful treatment of a busy adult patient with significant malocc...
This article describes unintended movements associated with some designs of fixed lingual retainers and suggests alternative designs while also identifying corrective measures that may be taken for reparative treatment.