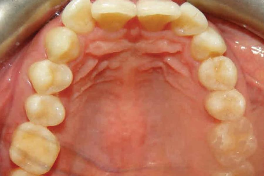
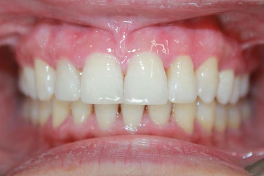
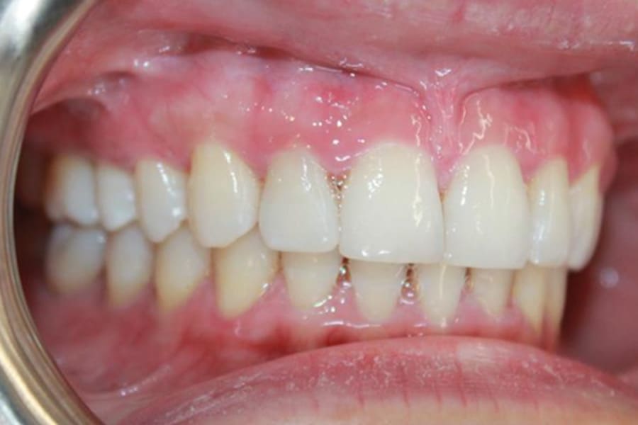
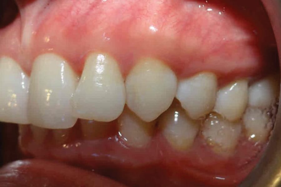
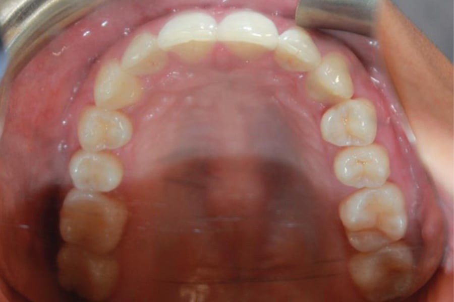
A 35-year-old woman presented with concerns of crowding, bruxism, and bite misalignment, which were associated with a class II malocclusion that would require a combination treatment of expansion, distalization, and molar derotation. ClearCorrect® aligner therapy (Straumann, clearcorrect.com) was selected as the primary modality, as the patient requested a non-invasive, esthetic treatment. The treatment plan was designed to be completed within 6 months of active aligner therapy. Class II elastics were prescribed, and the ClearCorrect FLEX case plan was chosen to allow for refinements, as needed. After comprehensive digital records were taken, the first set of aligners was delivered, engagers were bonded, and the patient was instructed to wear aligners on a 14-day cycle with full-time class II elastic wear. To enhance efficiency, more engagers were placed, including posterior attachments, to maximize control over molar distalization and anchorage. Interproximal reduction of 0.3 mm was performed in a few contacts at the initial appointment to facilitate space closure and alignment. Due to the complexity of the correction and the patient’s history of bruxism, a lower 3-3 bonded retainer was placed, and retainers were fabricated for both arches. The patient expressed a high level of satisfaction with the ClearCorrect aligner therapy, noting the comfort and esthetics of the aligners and the ability to achieve a fully corrected class II occlusion in just 6 months of treatment.
KEY TAKEAWAYS
ClearCorrect’s advanced material properties, digital planning tools, and precise movement control allow for comprehensive class II correction in an accelerated timeframe with minimal auxiliaries and excellent patient compliance.
The ClearQuartz™ tri-layer material used in ClearCorrect aligners, combined with a high flat trimline, plays a crucial role in delivering consistent force application while maintaining optimal flexibility for patient comfort.
Treatment options that can address any need—from simple to complex, requiring a few weeks of treatment to several years—are available from ClearCorrect, ensuring the right treatment for the right case.
Yan Kalika, DMD, MS
Certified Specialist in Orthodontics and Dentofacial Orthopedics; Private Practice, San Francisco, California