Abstract: Traditional management of dental caries often follows a predictable cycle: incipient lesion, filling, recurrent decay, crown, root canal, and eventual possible tooth loss. This restorative pathway reflects dentistry’s conventional “wait and watch” approach, in which early lesions are monitored but left untreated until cavitation. The emergence of non-invasive technologies now allows clinicians to intervene earlier, preserve tissue, and strengthen patient trust in dentistry. Curodont™ Repair Fluoride Plus introduces a paradigm shift through guided hydroxyapatite generation, a process that fosters the formation of new hydroxyapatite crystals and facilitates repair of the lesion without drilling. When combined with artificial intelligence–powered diagnostic imaging, this approach enables clinicians to detect incipient lesions earlier and treat them with confidence. This article presents four clinical cases that demonstrate visible shrinkage and, in some instances, complete resolution of white spot lesions following treatment with Curodont. These cases, aligned with published evidence, highlight how non-invasive, early intervention therapy can reduce the surgical restorative burden, improve patient communication, and support dentistry’s broader role as primary care providers of the oral cavity.
Dental caries remains the most prevalent chronic disease worldwide, with a well-documented impact on both oral and systemic health.1,2 More than 200 systemic conditions have been associated with biofilm-mediated oral inflammation, from cardiovascular disease to diabetes and adverse pregnancy outcomes.3 The traditional restorative pathway—incipient lesion, filling, recurrent decay, crown, root canal, and potential eventual extraction—contributes not only to patient morbidity but also to the significant economic burden of oral disease.4,5
Historically, dentistry has managed early carious lesions with a “wait and watch” philosophy. White spot lesions or incipient interproximal decay were often monitored until cavitation justified operative treatment. This approach, however, leaves patients vulnerable to disease progression, undermines confidence in preventive care, and commits teeth to an invasive restorative cycle with lifelong consequences.4,5
Today, advances in both diagnostics and therapeutics allow for a new standard of care: early detection and non-invasive intervention. Artificial intelligence (AI) imaging tools enable clinicians to visualize lesions earlier and with greater confidence. While the human eye can perceive 30 to 50 shades of gray on a radiograph, AI systems analyze up to 800 shades, revealing changes imperceptible to even the most experienced clinician.6,7 This improves diagnostic consistency and, importantly, allows clinicians to show patients their conditions clearly to help build trust.
Curodont™ Repair Fluoride Plus (vVARDIS, vvardis.com) represents a breakthrough in caries therapeutics. Based on the principle of guided hydroxyapatite generation, this material disperses throughout the lesion body and promotes the formation of new hydroxyapatite crystals, leading to repair of the lesion.6 Unlike surface-level preventive strategies, this material penetrates to the depth of the lesion, restoring mineral density and preserving tooth integrity.6 As it restores the form and function of the tooth with hydroxyapatite instead of with artificial substitutes, such treatment can be thought of as a non-invasive restorative intervention.
As a practicing clinician, the author has seen firsthand how this shift in caries treatment approach can transform care. Patients who have faced a lifelong cycle of progressively larger invasive restorations are now able to benefit from the arrest or resolution of lesions without the need for drilling or anesthetic. Orthodontic patients with high biofilm accumulation, medically compromised adults with xerostomia, and even the author’s own son with developmental enamel challenges have had lesions shrink or become no longer detectable following treatment with Curodont.
This article presents a series of representative cases that illustrate the following workflow: early detection with AI, non-invasive treatment with Curodont, and clinical outcomes that demonstrate stability, shrinkage, or complete resolution of incipient lesions. These cases reflect a broader philosophy: that dentists, as primary care providers of the oral cavity, can shift from the “drill-and-fill” mindset to being proactive partners in early intervention.
Diagnostic Workflow and Case Selection
The patients in these cases underwent comprehensive oral examinations, including visual-tactile assessment, digital bitewing radiographs, and AI-assisted imaging (Pearl Inc., say.hellopearl.com). The AI system enables enhanced detection supporting early diagnosis, providing patients with visual confirmation of their conditions and helping to improve communication and trust.
Four representative cases were selected to illustrate the application of Curodont across diverse clinical situations. Selection criteria included: presence of white spot or incipient interproximal lesions; no frank cavitation or large restorations at baseline; patients representing different age groups and risk profiles (ie, pediatric, adolescent, adult, and xerostomia); and willingness to adhere to home care recommendations and routine 6-month recalls.
Treatment Protocol and Follow-up
For all cases, lesions were isolated, cleaned, and etched for 20 seconds with 35% phosphoric acid. The surface was dried, and Curodont was applied on or near the lesion surface. In earlier cases, the material was left undisturbed for 3 to 5 minutes before drying; for the new, recently introduced generation of the product, this step is no longer necessary. Curodont Protect remineralizing gel was subsequently placed to complement the action of Curodont. No anesthesia was required, and all patients tolerated the procedure well.
Adjunctive measures included prescription or over-the-counter fluoride rinses, topical calcium-phosphate-based toothpastes, and regular fluoride varnish applications at recall visits. Nutritional counseling and home care reinforcement were provided to address diet, plaque control, and risk factors such as sugar intake, acid exposure, or occlusal trauma.
Patients were monitored at 6-month intervals. Lesions were evaluated both visually and radiographically, with AI reassessment when applicable. Success was defined as no progression of the lesion. Better success was defined as visible shrinkage or stabilization with hardening. Best success was defined as lesions no longer detectable on visual, radiographic, or AI evaluation. (These cases only represent the author’s experience with Curodont. Individual results may vary.)
Case Reports
Case 1: Lucas (Pediatric Patient, Author’s Son)
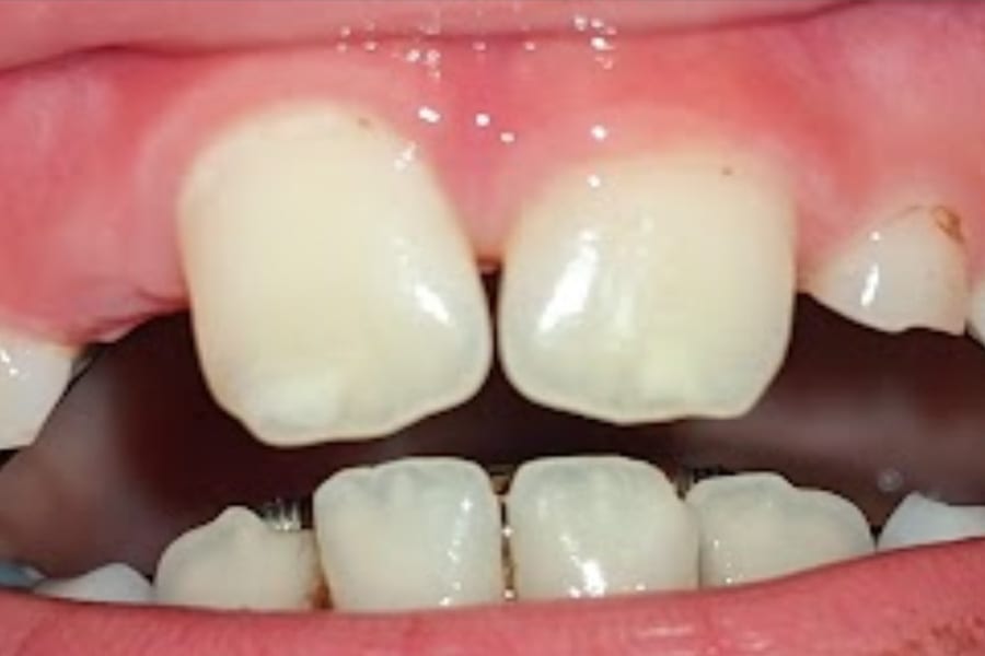
Lucas, an 8-year-old boy (now 10), presented with a history of significant developmental challenges, including ARM/VATER syndrome, multiple early surgeries, and enamel weakness with erosion. Orthodontic appliances, including an expander and, later, a Nance, complicated hygiene. Visual examination revealed white spot lesions on teeth Nos. 8 and 9.
Traditional management might include topical calcium-phosphate-based toothpastes, fluoride varnish, or resin infiltration. However, due to concern for the patient’s age and social development, treatment with Curodont was preferred. Curodont was applied following etching and drying, with Curodont Protect placed for 6 months. Adjuncts included use of a calcium-phosphate-based toothpaste, fluoride rinse, and power brushing.
At 6- and 12-month follow-ups, the lesions demonstrated visible shrinkage, hardened surfaces, and clinical arrest. Lucas tolerated the treatment well, with no anesthesia required. This case illustrates the use of guided hydroxyapatite generation in pediatric patients, providing both clinical efficacy and parental reassurance while preserving esthetic options for the future. (Figure 1 and Figure 2)
Case 2: Liam (Adolescent Patient, AI-Detected Lesions)
Liam, a 13-year-old male patient, had a lax diet typical of many adolescents, limited flossing, and only moderate home care. Despite nutritional counseling and home care instruction, AI-assisted imaging revealed incipient lesions on the distal aspect of tooth No. 14 (with No. 15 erupting) and the distal of tooth No. 19.
After cleaning, etching, and drying was performed, Curodont was applied, followed by application of fluoride varnish and adjunctive use of fluoride mouthwashes. AI-assisted imaging was used at baseline and at follow-up, supporting early detection and clear patient communication.
At follow-up visits, lesions were no longer detectable with AI or radiographically. Both patient and parent appreciated avoiding operative care, particularly given the challenges of isolating tooth No. 14 during eruption of No. 15. This case demonstrates the synergy of AI diagnostics with non-invasive therapy, shifting treatment from “watch and wait” to proactive repair. (Figure 3 and Figure 4)
Case 3: Sean (Adult Patient, Long-Term Stability)
Sean, a 39-year-old man with generally good health and compliance, presented in June 2023 with incipient E2/D1 lesion on the distal of tooth No. 4 and E1/E2 lesion on the distal of tooth No. 30. After prophylaxis and etching, Curodont was applied, with adjunctive fluoride varnish and daily fluoride rinse.
In December 2024, the patient returned for a follow-up visit. The lesion on the distal of tooth No. 4 had significantly reduced in size and a new lesion on the mesial of tooth No. 3 was detected. Curodont was placed interproximally between teeth Nos. 3 and 4 to treat the lesion on the mesial of No. 3. At this time the lesion on the distal of tooth No. 30 had resolved and was not detected on an AI-interpreted radiograph.
At a subsequent follow-up in August 2025, the lesion on tooth No. 4 showed significant shrinkage and stabilization, being reduced to an enamel-only lesion. The lesion on the mesial of tooth No. 3 had fully resolved and was not visible on the radiograph. The lesion on No. 30 was no longer detectable radiographically or clinically. This outcome illustrates the long-term stability achievable with guided hydroxyapatite generation, even in adults with established histories indicating high caries risk. The patient reported satisfaction with avoiding invasive care and valued the early intervention approach. (Figure 5 through Figure 9)
Case 4: Joan (Adult Patient With Xerostomia/Sjögren’s Syndrome)
Joan, a 76-year-old woman with Sjögren’s syndrome, experienced chronic xerostomia, placing her at high risk for recurrent caries.8 AI-assisted imaging and visual examination revealed early interproximal lesions on the distal and mesial aspects of tooth No. 29.
Curodont was applied, supported by a calcium-phosphate-based toothpaste, saliva substitutes, and fluoride varnish at recalls. At the 9-month follow-up, the clinician took additional radiographs that were challenging due to the patient having mandibular tori, and, therefore, they were taken from multiple positions. The lesion on the distal of tooth No. 29 had reduced, and the one on the mesial was no longer detectable on AI evaluation. The patient reported high satisfaction and was pleased to avoid more extensive, invasive restorative procedures compared to what she had experienced in previous years.
This case shows the efficacy of guided hydroxyapatite generation on incipient enamel lesions even in hostile oral environments, offering non-invasive, biologically based treatment for medically complex patients. (Figure 10 through Figure 12)
Discussion
The outcomes observed in the cases presented align closely with literature supporting non-invasive management of incipient caries through guided hydroxyapatite generation. A recently published evaluation by The Dental Advisor reinforced these findings, documenting 15% mineral deposit through formation of new hydroxyapatite crystals throughout the lesion 2 weeks after application of Curodont.9 Those findings provide robust evidence for the observed clinical results: lesion arrest, shrinkage, hardening, and, often, complete absence on follow-up imaging.
A critical factor in successful integration of this therapy is the diagnostic workflow. Early detection remains the foundation to proactive minimally invasive care. Traditional radiography and visual examination are limited by human perceptual thresholds. The enhanced sensitivity enabled by AI supports earlier diagnosis, consistent detection across providers, and improved communication with patients, who can see the highlighted lesion themselves. In practice, this reduces the burden of persuasion on clinicians and helps build patient trust, making acceptance of non-invasive treatment more likely and further supporting the practice of minimally invasive dentistry to the benefit of the patient.
The cases described here illustrate a spectrum of real-world applications. In each scenario, the workflow was consistent: AI-assisted or visual detection, application of Curodont under isolation following etching and drying, reinforcement with adjunctive home care, and structured follow-up at 6-month intervals to diagnose and treat new lesions. Outcomes ranged from stability to complete resolution, underscoring both the predictability and adaptability of this approach.
Importantly, these clinical results address a broader professional challenge: the erosion of trust in dentistry when patients experience recurrent invasive restorative cycles. Non-invasive treatments that preserve tissue, minimize esthetic compromises, and stop disease progression reframe dentistry as prevention-and-early-intervention-focused primary care. By reducing the need for drilling and anesthesia, clinicians not only improve patient comfort but also demonstrate a commitment to long-term oral and systemic health.
While limitations may exist, particularly in cases of exceptionally poor compliance, hostile oral environments, or unaddressed occlusal trauma, the evidence and case outcomes suggest that Curodont offers a meaningful shift in how dentistry can manage early lesions. When combined with AI diagnostics, the therapy provides both scientific credibility and practical assurance, enabling clinicians to deliver care that is biologically sound and helps reduce the economic and systemic burden of oral disease.
Conclusion
Dentistry stands at a pivotal moment. For decades, the profession has accepted the “surgical restorative cycle” as inevitable. This cycle consumes patient trust, increases financial and systemic burdens, and leaves clinicians in the reactive role of repairing damage after it occurs.
The cases presented here, supported by both clinical experience and published evidence, demonstrate that a new standard of care is possible. Guided hydroxyapatite generation allows clinicians to intervene early, preserve enamel, and repair lesions rather than replace lost mineral with an artificial substitute. AI-driven diagnostics give clinicians confidence in early detection and clarity in patient communication. Together, these technologies reduce uncertainty for providers and build trust with patients. Non-invasive care with Curodont empowers providers to protect what is healthy and restore what is damaged before it becomes irreversible.
DISCLOSURE
This article was commercially supported by vVARDIS.
ABOUT THE AUTHOR
Layla Lohmann, DDS
Cofounder and Clinical Director, Apex Dental Partners, and Practicing Clinician, Dallas, Texas
References
1. GBD 2017 Disease and Injury Incidence and Prevalence Collaborators. Global, regional, and national incidence, prevalence, and years lived with disability for 354 diseases and injuries for 195 countries and territories, 1990–2017: a systematic analysis for the Global Burden of Disease Study 2017. Lancet. 2018;392(10159):1789-1858.
2. Liu J, Zong X, Vogtmann E, et al. Tooth count, untreated caries and mortality in US adults: a population-based cohort study. Int J Epidemiol. 2022;51(4):1291-1303.
3. FDI World Dental Federation. Digital cleft care. FDI website. https://www.fdiworlddental.org/cleftcare. Accessed October 17, 2025.
4. Desai H, Stewart CA, Finer Y. Minimally invasive therapies for the management of dental caries – a literature review. Dent J (Basel). 2021;9(12):147.
5. Featherstone JDB. The continuum of dental caries—evidence for a dynamic disease process. J Dent Res. 2004;83 spec no C:C39-C42.
6. Apteryx. Pearl AI overview. Apteryx website. https://apteryximaging.planetdds.com/hc/en-us/articles/15113455478811-Pearl-AI-Overview. Accessed October 17, 2025.
7. Putra RH, Doi C, Yoda N, et al. Current applications and development of artificial intelligence for dental radiography. Dentomaxillofac Radiol. 2022;51(1):20210197.
8. Mathews SA, Kurien BT, Scofield RH. Oral manifestations of Sjögren’s syndrome. J Dent Res. 2008;87(4):308-318.
9. Cowen M, Gilmartin M, Powers JM. In vitro evaluation of enamel carious lesion treatment with Curodont™ Repair Fluoride Plus. Biomater Res Rep. August 2025;175.