Abstract: Three-dimensional (3D) smile design has become a valuable tool for full-mouth rehabilitation, enabling precise treatment planning, enhanced patient communication, and improved case acceptance. It also increases the treatment predictability and reproducibility of the patient-approved design. Advances in in-house computer-aided design/computer-aided manufacturing (CAD/CAM) technology and ceramic materials have further streamlined the process and reduced turnaround time while enabling clinicians to overcome limitations commonly associated with traditional pressable ceramics. This case report outlines the digital workflow for the esthetic and functional rehabilitation of a patient with severely worn dentition, utilizing in-house CAD/CAM technology to fabricate lithium-disilicate glass-ceramic restorations.
Digital workflows in dentistry are being utilized to improve treatment efficiency, predictability, and reproducibility. Their usage can be especially beneficial in complex treatments such as multifactorial dental wear, where 3-dimensional (3D) smile design can be used for effective case management and to achieve a minimally invasive esthetic and functional restoration. In this case report, a facially generated treatment planning approach was taken that allowed final restorations to be guided by esthetic parameters to both meet the patient’s cosmetic goals and improve the predictability of the full-mouth rehabilitation.
Diagnosis and Prognosis of Tooth Wear
Tooth wear is a multifactorial condition involving the progressive loss of dental hard tissue from causes other than dental caries or dental trauma.1 It can be broadly divided into mechanical wear and chemical wear, either of which can be intrinsic or extrinsic. These four forms of tooth wear are commonly known as erosion, attrition, abrasion, and abfraction.
Among these, erosion, which is the chemical acid dissolution of dental hard tissue, plays a particularly significant role in cases of severe wear.2 This biocorrosion of dental hard tissue can be caused by intrinsic (eg, gastric acid) and extrinsic (eg, acidic diet) factors. As enamel and dentin become demineralized and structurally weakened, even physiological forces during function and hygiene can accelerate tissue loss. In recent decades, the incidence and severity of tooth wear have increased across all age groups, which has largely been attributed to changes in dietary habits, parafunctional activities, and increased consumption of acidic beverages.3
Left untreated, extensive wear can compromise both function and esthetics, leading to altered vertical dimension, dentin hypersensitivity, potential fracture and loss of dentition, and decreased quality of life. Understanding the underlying mechanism of tooth wear is essential for effective clinical management and prevention of further damage.4,5
Treatment Strategy and Material Choice
Treatment of tooth wear depends on factors such as the severity of wear, symptoms, and the patient’s level of compliance. Not all cases require full oral rehabilitation, as tooth wear is often a natural physiological process associated with aging. The first line of management should always be preventive; this includes patient education, oral hygiene instruction, pH control, application of topical fluoride varnish, and the use of occlusal appliances.6-9 When, however, the structural integrity of the dentition is compromised, with the risk of pulpal exposure, or when the patient experiences hypersensitivity or has esthetic concerns due to wear defects, restorative intervention is likely indicated.
Whenever feasible, additive direct restoration or sealing should be considered first, even in cases of severe tooth wear.9-12 A systematic review by Hardan et al reported that resin composite offers a cost-effective, durable, and esthetic solution, with no significant differences in performance noted between direct and indirect composites.13 The long-term clinical performance of posterior composites, however, remains less predictable, as these often require subsequent intervention because of the variability in composite resins.13,14
Vailati and Belser described a three-step technique for coordinated laboratory and clinical planning and execution of a full-mouth restoration of dental wear. These steps include maxillary vestibular wax-up based on esthetics and assessment of the occlusal plane; posterior occlusal wax-up at the planned occlusal vertical dimension (OVD); followed by maxillary anterior palatal wax-up for establishment of anterior guidance.15 In a 6-year retrospective study that evaluated rehabilitations performed using the three-step technique, Torosyan et al found that both direct and indirect composite or ceramic restorations demonstrated favorable medium-term outcomes. Indirect ceramic restorations tended to show better performance, particularly in posterior regions.16 Schlichting et al reported a similar conclusion in their 3-year randomized controlled trial on computer-aided design/computer-aided manufacturing (CAD/CAM) occlusal veneers in which lithium-disilicate ceramic demonstrated a slight advantage over composite resin. The composite restorations showed signs of surface degradation and increased surface roughness at occlusal contact areas.17 For posterior wear defects involving ≥2 mm of vertical structural loss or affecting two or more surfaces, full-ceramic restorations are recommended.10 For anterior defects, Vailati and Belser introduced a new classification system, the anterior clinical erosive (ACE) classification, intended to guide both treatment selection and prognosis assessment.12
Overall, both composite and all-ceramic materials have shown good durability and are considered suitable materials for the restoration of tooth wear, assuming that the least amount of healthy tooth structure possible is sacrificed. Other factors to also consider when choosing the final restorative material are the patient’s esthetic goals, financial constraints, willingness to undergo future interventions that may be needed, and compliance with post-treatment occlusal appliance therapy.
Facially Generated Treatment Planning
Facially generated treatment planning (FGTP), first introduced by Spear in 1986, is an approach to oral rehabilitation that begins by establishing the ideal position of the maxillary teeth to achieve esthetic harmony. This is done prior to integrating functional, structural, and biological requirements. FGTP allows for coordinated orthodontic, periodontal, surgical, and prosthetic interventions so that the restorative team can work toward a unified esthetic goal and improve the predictability of the full-mouth rehabilitation.18
In oral rehabilitation, it may be necessary to alter the OVD to create restorative space, improve dentofacial esthetics, and optimize incisal and occlusal relationships.19 Tryde et al found that each person possesses a range of vertical positions that are well tolerated and functional.20 In general, an increase in OVD of up to 5 mm is considered safe, and evidence does not support the need for a prolonged trial phase when OVD is altered. While some transient symptoms, such as mild muscle discomfort or speech changes, may occur, these typically resolve within 2 weeks. Most patients experience no long-term adverse effects.21-23
Fully Digital Workflow
Full-mouth rehabilitation has traditionally relied on conventional analog workflows based on physical impressions and manual diagnostic wax-ups.24 While effective, this method is inherently time- and labor-intensive, relying heavily on the technician’s skills to integrate esthetic guidelines and tailor the restoration to each individual case. Additionally, the reproducibility of the analog mock-up in the definitive restoration is less predictable, as, again, it is highly reliant on the technician’s abilities. By contrast, digital workflows provide high efficiency, precision, and reproducibility.
A digital workflow consists of three main phases. The first phase is data acquisition, which entails intraoral scanning, standardized portrait photography, and, when available, facial scanning and dynamic occlusion records. These components are complemented by a comprehensive oral and periodontal evaluation, medical history, and appropriate imaging, such as radiographs and cone-beam computed tomography (CBCT), when indicated. In the next phase, data processing and FGTP, the digital records are integrated within interdisciplinary planning platforms to enable virtual smile design, occlusal scheme simulation, and 3D visualization of treatment options. These simulations can then be presented to the patient to facilitate an informed discussion of achievable outcomes within the patient’s anatomical and biological limitations.25,26 Once the plan is accepted, the third and final phase—treatment execution via CAD/CAM—begins, with restorations fabricated either through subtractive or additive manufacturing using monolithic ceramics or hybrid materials, providing a precise fit and efficient delivery.
Case Report
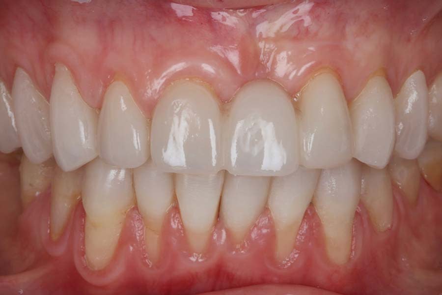
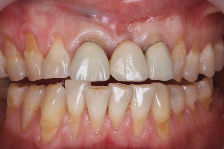
A 47-year-old female patient presented to the prosthodontics clinic at the University of Pennsylvania School of Dental Medicine with severe dental wear. Her chief complaint was that she didn’t like the appearance of her “front teeth” and was very concerned about her teeth “breaking apart” (Figure 1 and Figure 2). She reported noticing metal exposure on the existing fixed dental prosthesis (FDP) at Nos. 8 through 10 and progressive tooth wear. Her condition was causing her significant anxiety, which had worsened during a recent period of emotional stress accompanied by increased clenching. A recent tooth chipping incident with associated hypersensitivity of tooth No. 18 prompted her to seek definitive care.
Intraoral and extraoral photographs and digital scans were obtained. Bite registration was taken in centric relation, along with three additional registrations at 1 mm, 1.5 mm, and 2 mm increased OVD using a leaf gauge. Medical and dietary history revealed mild gastric reflux and habitual tea consumption. Clinical examination identified multifactorial wear, with signs of intrinsic and extrinsic erosion, attrition, and abrasion (Figure 3 and Figure 4). There was significant tooth structure loss and partial dentoalveolar compensation. The gingival phenotype was thin, with RT1 recession defects at multiple sites.27
No osseous pathology was noted on radiographic examination. All teeth yielded a positive response to thermal and electric pulp testing. Based on the history and clinical examination, the diagnosis was generalized moderate tooth surface loss due to a combination of attrition, erosion, and abrasion; partial edentulism; loss of OVD; and esthetic concerns. The patient desired a minimally invasive, esthetic, and durable treatment option.
Digital smile design was generated using a biomimetic tooth library in a virtual treatment planning software (Smilecloud 3DNA, Smilecloud, smilecloud.com) and presented to the patient for discussion (Figure 5 and Figure 6). A proposed soft-tissue design that included root coverage procedures and an implant placement option for the replacement of tooth No. 30 was also reviewed. Surgical procedures would be deferred because the patient was planning a relocation within 2 months; however, she expressed interest in pursuing these procedures in the future. Based on the patient’s chief complaint, esthetic goals, and timeline, the treatment plan included replacing the existing FDP and restoring the worn dentition with a combination of CAD/CAM lithium-disilicate partial-coverage indirect restorations and direct composite restorations at a 2 mm increased OVD.
The patient-approved smile design was used as a guide to complete a functional wax-up using a virtual semi-adjustable articulator (Stratos® 300, Ivoclar, ivoclar.com) at 2 mm increased OVD. The printed model was used to fabricate a silicone matrix for chairside provisionalization. The existing anterior FDP was sectioned and removed, and preparations were refined to ideal contours. Immediate dentin sealing was performed, and the teeth were provisionalized with bisacryl material. Full-mouth preparation was completed, maintaining the established vertical dimension with the bonded mock-up on unprepared teeth and provisional restorations on prepared teeth.
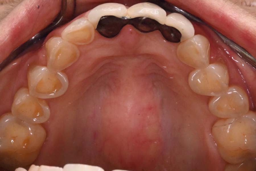
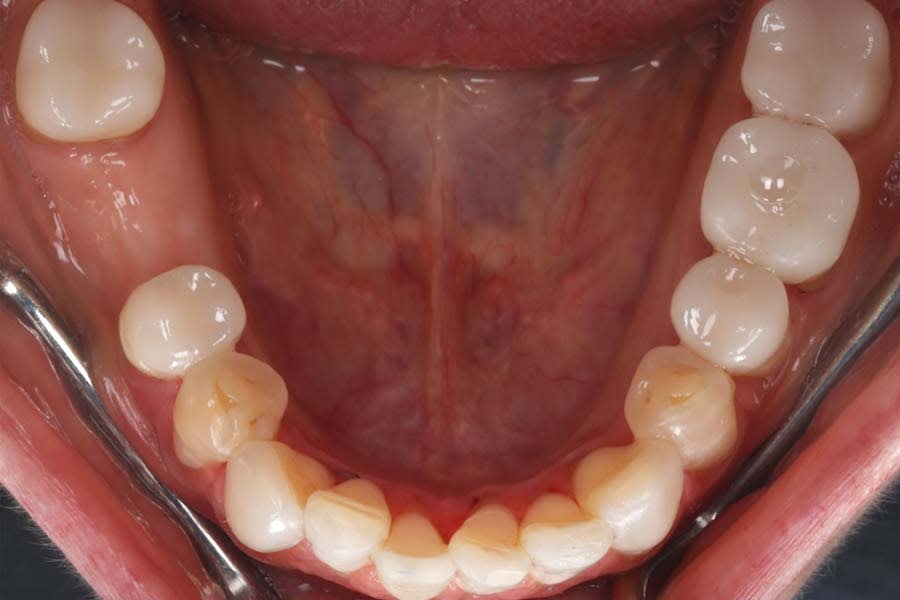
Definitive digital scans of each arch were obtained (Figure 7 and Figure 8), and the definitive restorations were designed based on the diagnostic wax-up (Figure 9). The design files were then exported in standard tessellation language (STL) format and transferred to the in-house technicians for milling of the definitive restorations in lithium-disilicate material. The restorations were subsequently custom-stained and glazed (Figure 10). Based on the patient’s esthetic preferences, modifications were made to the maxillary anterior design before delivery. The definitive restorations were evaluated intraorally and bonded with a luting composite (soft white shade) (Variolink® Esthetic LC, Ivoclar) (Figure 11), with all excess cement carefully removed (Figure 12 and Figure 13). The mandibular incisors were restored with direct composite, and abrasion lesions in the esthetic zone, intended for future root coverage, were provisionally restored with supragingival flowable composite for improved appearance (Figure 14).
The patient expressed satisfaction with the final esthetic outcome (Figure 15). An occlusal appliance was fabricated and delivered, and preventive strategies and maintenance protocols were reinforced with the patient. She was advised to maintain regular dental recall and topical fluoride varnish application. With compliance to these recommendations, a favorable long-term prognosis is anticipated.
Discussion
This case report demonstrates a technique for minimally invasive management of multifactorial dental wear. Esthetic and functional rehabilitation was completed using FGTP and a fully digital workflow, making this treatment efficient, predictable, and reproducible.
Additional treatment to enhance the outcome could include root coverage procedures, orthodontic treatment to address anterior crowding and flaring, and an implant-supported restoration to replace missing tooth No. 30. At the time of this writing, however, the patient was satisfied with the treatment provided and chose to defer any additional treatment to the future.
Conclusion
Although long-term follow-up will be necessary to fully evaluate the treatment outcome of this case, the patient’s chief concerns were addressed in an efficient and predictable manner using a fully digital workflow. The facially generated treatment planning approach ensured that the final restorations were guided by esthetic parameters harmonized with function and biology.
ACKNOWLEDGMENT
The authors thank Alan Garcia, DDS, and Guilherme Madureira, DDS, of the Digital Design and Milling Center, University of Pennsylvania School of Dental Medicine for the custom staining and glazing of the lithium-disilicate definitive restorations in this case.
ABOUT THE AUTHORS
Selina Guo, DMD
Chief Resident of Postgraduate Prosthodontics Program, Division of Prosthodontics, University of Pennsylvania School of Dental Medicine, Philadelphia, Pennsylvania
Harshiv Karia, BDS, MPros RCSEng
Instructor of Postgraduate Digital Dentistry, Prosthodontist, Division of Prosthodontics, University of Pennsylvania School of Dental Medicine, Philadelphia, Pennsylvania
Markus B. Blatz, DMD, PhD
Professor of Restorative Dentistry, Chair, Department of Preventive and Restorative Sciences, and Assistant Dean, Digital Innovation and Professional Development, University of Pennsylvania School of Dental Medicine, Philadelphia, Pennsylvania
Nupur Patel, BDS, DMD, MS
Assistant Professor of Clinical Restorative Dentistry, Division Chief, Division of Prosthodontics, and Director, Postgraduate Prosthodontics Program, University of Pennsylvania School of Dental Medicine, Philadelphia, Pennsylvania
References
1. Yule PL, Barclay SC. Worn down by toothwear? Aetiology, diagnosis and management revisited. Dent Update. 2015;42(6):525-532.
2. The Glossary of Prosthodontic Terms 2023: Tenth edition. J Prosthet Dent. 2023;130(4 suppl 1):e1-e3.
3. Bartlett DW, Fares J, Shirodaria S, et al. The association of tooth wear, diet and dietary habits in adults aged 18–30 years old. J Dent. 2011;39(12):811-816.
4. Grippo JO, Simring M, Schreiner S. Attrition, abrasion, corrosion and abfraction revisited: a new perspective on tooth surface lesions. J Am Dent Assoc. 2004;135(8):1109-1118.
5. Loomans BAC, Wetselaar P, Opdam NJM. European statement of consensus regarding the treatment of severe tooth wear [in Dutch]. Ned Tijdschr Tandheelkd. 2018;125(04):223-231.
6. Lussi A, Jaeggi T, Schaffner M. Prevention and minimally invasive treatment of erosions. Oral Health Prev Dent. 2004;2 suppl 1:321-325.
7. Zero DT, Lussi A. Erosion — chemical and biological factors of importance to the dental practitioner. Int Dent J. 2005;55(4 suppl 1):285-290.
8. Lussi A, Hellwig E. Risk assessment and preventive measures. Monogr Oral Sci. 2006;20:190-199. doi:10.1159/000093363.
9. Yip HK, Smales RJ, Kaidonis JA. Management of tooth tissue loss from erosion. Quintessence Int. 2002;33(7):516-520.
10. Lussi A, Hellwig E, Ganss C, Jaeggi T. Buonocore memorial lecture. Dental erosion. Oper Dent. 2009;34(3):251-262.
11. Schlichting LH, Resende TH, Reis KR, Magne P. Simplified treatment of severe dental erosion with ultrathin CAD-CAM composite occlusal veneers and anterior bilaminar veneers. J Prosthet Dent. 2016;116(4):474-482.
12. Vailati F, Belser UC. Classification and treatment of the anterior maxillary dentition affected by dental erosion: the ACE classification. Int J Periodontics Restorative Dent. 2010;30(6):559-571.
13. Hardan L, Mancino D, Bourgi R, et al. Treatment of tooth wear using direct or indirect restorations: a systematic review of clinical studies. Bioengineering (Basel). 2022;9(8):346.
14. Kassardjian V, Andiappan M, Creugers NHJ, Bartlett D. A systematic review of interventions after restoring the occluding surfaces of anterior and posterior teeth that are affected by tooth wear with filled resin composites. J Dent. 2020;99:103388.
15. Vailati F, Belser UC. Full-mouth adhesive rehabilitation of a severely eroded dentition: the three-step technique. Part 1. Eur J Esthet Dent. 2008;3(1):30-44.
16. Torosyan A, Vailati F, Mojon P, et al. Retrospective clinical study of minimally invasive full-mouth rehabilitations of patients with erosions and/or abrasions following the “3-step technique.” Part 1: 6-year survival rates and technical outcomes of the restorations. Int J Prosthodont. 2022;35(2):139-151.
17. Schlichting LH, Resende TH, Reis KR, et al. Ultrathin CAD-CAM glass-ceramic and composite resin occlusal veneers for the treatment of severe dental erosion: an up to 3-year randomized clinical trial. J Prosthet Dent. 2022;128(2):158.e1-158.e12.
18. Spear FM, Kokich VG, Mathews DP. Interdisciplinary management of anterior dental esthetics. J Am Dent Assoc. 2006;137(2):160-169.
19. Calamita M, Coachman C, Sesma N, Kois J. Occlusal vertical dimension: treatment planning decisions and management considerations. Int J Esthet Dent. 2019;14(2):166-181.
20. Tryde G, Stoltze K, Fujii H, Brill N. Short-term changes in the perception of comfortable mandibular occlusal positions. J Oral Rehabil. 1977;4(1):17-21.
21. Abduo J, Lyons K. Clinical considerations for increasing occlusal vertical dimension: a review. Aust Dent J. 2012;57(1):2-10.
22. Lassmann Ł, Calamita MA, Manfredini D. Myths surrounding vertical dimension of occlusion in restorative dentistry: a scoping review. J Esthet Restor Dent. 2025;37(1):94-105.
23. Chantler J, Strasding M, Strauss F, et al. Importance of an evaluation phase when increasing the occlusal vertical dimension: a systematic review. J Esthet Restor Dent. 2025;37(3):669-689.
24. Magne P, Magne M, Belser U. The diagnostic template: a key element to the comprehensive esthetic treatment concept. Int J Periodontics Restorative Dent. 1996;16(6):560-569.
25. Coachman C, Blatz MB, Bohner L, Sesma N. Dental software classification and dento-facial interdisciplinary planning platform. J Esthet Restor Dent. 2021;33(1):99-106.
26. Att W, Plaster U, Brezavscek M, Papathanasiou A. Digital workflow for the rehabilitation of the excessively worn dentition. Int J Esthet Dent. 2021;16(1):50-74.
27. Cairo F, Nieri M, Cincinelli S, et al. The interproximal clinical attachment level to classify gingival recessions and predict root coverage outcomes: an explorative and reliability study. J Clin Periodontol. 2011;38(7):661-666.