Abstract: Complex anterior open-bite malocclusions require a holistic, risk-stratified approach that extends beyond dental alignment to address the airway, facial form, function, biomechanics, and periodontium. This article outlines a contemporary airway–facially generated treatment planning (AFGTP) protocol that begins with airway screening and dentofacial analysis, incorporates functional and biomechanical planning, and integrates orthodontic execution using clear aligners and skeletal anchorage (temporary anchorage devices [TADs]) to achieve posterior intrusion and mandibular counterclockwise autorotation. A case example is shown that illustrates diagnosis (open bite, crowding, negative crown torque, and thin periodontal phenotype with early recessions), extraoral risk factors (gummy smile with high-lip mobility, asymmetric corridors, and lack of competent lip seal), and a digital workflow linking 2-dimensional/3-dimensional smile design to aligner planning. The treatment execution emphasized intrusion mechanics with TADs, torque control, curve-of-Spee management, and preservation of the anterior vertical position given the high display risk. Periodontal soft-tissue augmentation using connective tissue grafting via a tunneling technique supported stability in a thin phenotype. Radiographic follow-up demonstrated intrusion without adverse root or sinus changes and an improved facial balance.
Anterior open bite is among the most challenging malocclusions due to its multifactorial etiology, including skeletal, dentoalveolar, functional, and behavioral contributors, as well as variable relapse risk. Historically, treatment focused on tooth alignment and occlusion alone; contemporary paradigms integrate airway evaluation, facial analysis, and periodontal risk into the planning and execution.1-3 Within this context, the airway–facially generated treatment planning (AFGTP) concept operationalizes sequencing from airway assessment to facially generated treatment objectives, functional/biomechanical strategies, and periodontal stability considerations (Figure 1).1-3
The protocol offers a patient-centered framework aimed at reducing risk, enhancing predictability, and improving function, esthetics, and long-term stability.1-7 AFGTP starts with airway screening and dentofacial analysis, proceeds through functional and biomechanical planning, and incorporates orthodontic treatment through the use of clear aligners and skeletal anchorage with temporary anchorage devices (TADs) to attain posterior intrusion and mandibular counterclockwise (CCW) autorotation.
This article, which presents a case of a 31-year-old female patient, describes the principles and sequencing of AFGTP across airway, dentofacial, functional/biomechanical, and periodontal domains. It is aimed at helping clinicians recognize the multifactorial nature of complex anterior open-bite malocclusions and the implications for risk management; identify indications and mechanics for combining clear aligner therapy with TADs; and evaluate periodontal considerations and soft-tissue management (eg, connective tissue grafting [CTG] in thin phenotypes) to support long-term stability.
Conceptual Framework: FGTP and AFGTP
Facially generated treatment planning (FGTP) establishes incisor position, smile arc, and occlusal planes in harmony with facial form.4-6 AFGTP extends FGTP by explicitly incorporating airway structure/function/behavior, then aligning dentofacial targets with functional envelopes and periodontal biology. This helps clinicians avoid over-intrusion of anterior teeth in high-display faces and guides decisions toward posterior intrusion when vertical maxillary excess (VME) and lip dynamics heighten gingival display risk.4-8
Diagnostic Workup
Airway
Screening of the airway encompasses structural constraints (eg, high palate, narrow arch form), functional habits (eg, anterior tongue thrust, restricted tongue mobility), and behavioral patterns (eg, oral posture/myofunctional dysfunction). These factors influence dentofacial development and relapse potential; therapy often includes myofunctional training as an adjunct to orthodontics to support long-term function (conceptual integration within AFGTP).1-3
Dentofacial Analysis
Key determinants in dentofacial analysis include tooth display at rest and during smiling, smile arc consonance, gingival display (ie, gummy smile), and symmetry of the buccal corridors. In patients with high tooth and gingival display, anterior intrusion may further accentuate esthetic disharmony. Therefore, treatment planning frequently favors posterior intrusion combined with CCW mandibular autorotation while preserving the anterior vertical dimension—that is, maintaining the vertical position of the maxillary and mandibular incisors relative to the lips and facial reference planes—to protect smile esthetics and facial harmony.4-8
Functional/Biomechanical Assessment
The target occlusal vertical dimension, centric occlusion/maximum intercuspation strategy, and envelope of function must be defined to avoid excessive overjet or compromised anterior clearance. Digital jaw-tracking or 4D axiography may be used to refine rotation axes for precise autorotation planning.9-11
Periodontal Risk
Thin phenotype/biotype and early recessions demand atraumatic mechanics, torque within bone, and possible soft-tissue augmentation near the completion of treatment to support stability.12-16
Orthodontic Protocol: Aligner Therapy With Skeletal Anchorage
Indications for AFGTP include open bite with high smile display risk, crowding, negative crown torque, and the need for posterior intrusion.
The orthodontic biomechanics are as follows: Skeletally anchored buccal and palatal TADs are positioned between the second premolar and first molar to provide vertical anchorage. Clear aligners are used for dental and dentoalveolar movement and remodeling to deliver controlled derotation, torque, curve-of-Spee adjustment, and anchorage-friendly staging. Elastics or chains to TADs add cranially directed force vectors for intrusion. Anterior vertical position is maintained to protect smile esthetics.3,7,17-21
Case Presentation
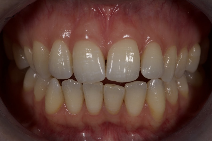
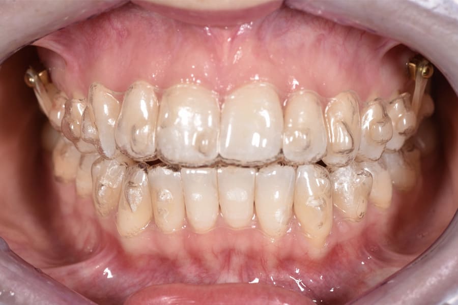
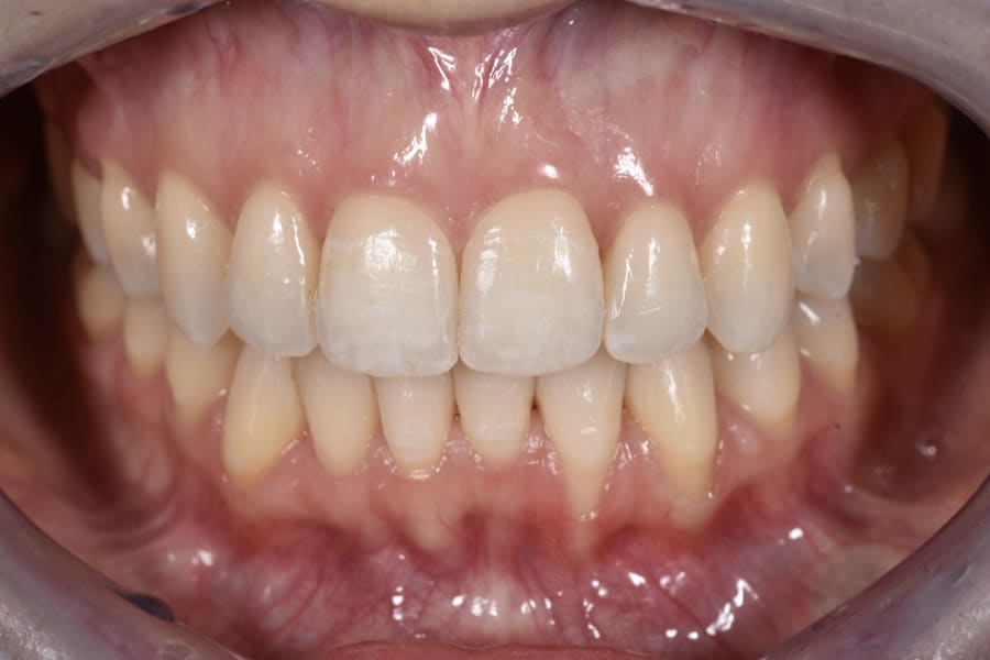
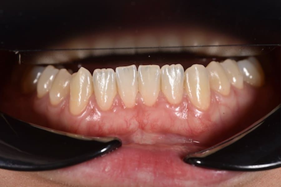
A 31-year-old female patient presented with the following intraoral conditions: an anterior open bite, bimaxillary crowding, negative crown torque, early “black triangles,” and a thin phenotype/biotype with early recessions. Her extraoral situation included a gummy smile with high-lip mobility, asymmetric arch forms and posterior corridors, and incompetent lip closure (Figure 2 through Figure 4). Collectively, these factors increase esthetic and periodontal risk and favor posterior intrusion over anterior intrusion.4-8,12-16
Treatment planning included the following key factors:
Airway/dentofacial: Preserve the anterior vertical; plan posterior intrusion to reduce display via mandibular CCW autorotation. (Figure 5 and Figure 6)
Biomechanics: Execute derotation/torque into the bone envelope; align the curve of Spee; maintain anterior clearance in the functional envelope.
Periodontium: Enable gentle forces; later, incorporate CTG to thicken the thin phenotype and cover recessions.4-8,12-16
Digital Workflow: From 2D Smile Design to 3D Orthodontic Setup
Digital smile design (generic software) is used to align facial objectives with tooth position, communicate across the team, and provide a stepwise roadmap for orthodontic staging and intrusion targets. It also allows for visualization of consequences of “close-in-front” versus posterior intrusion strategies in high-display cases.6-8 (Figure 7 through Figure 9)
Functional Planning: Counterclockwise Autorotation and Anterior Clearance
Posterior intrusion (eg, approximately 2 mm to 3 mm molar intrusion) is modeled to define mandibular CCW autorotation, ensuring acceptable anterior guidance and envelope. Hybrid analog/digital or fully digital jaw-tracking/axiography improves precision for the terminal mandibular position at treatment completion.9-11 (Figure 10 through Figure 13)
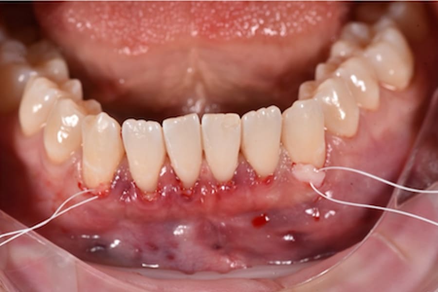
Periodontal Management and Thin Phenotypes
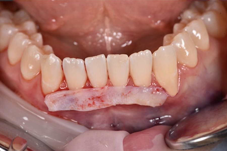
In thin phenotypes with early recessions, minimally invasive tunneling with CTG (with enamel matrix proteins on exposed roots when indicated) can increase soft-tissue thickness and support long-term stability after orthodontic tooth movement.12-16 (Figure 14 through Figure 17)
Radiographic Follow-up
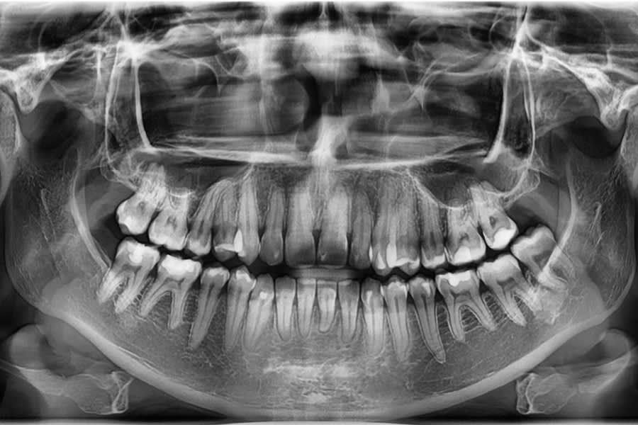
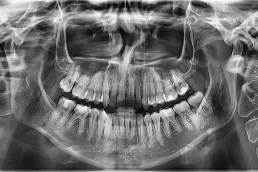
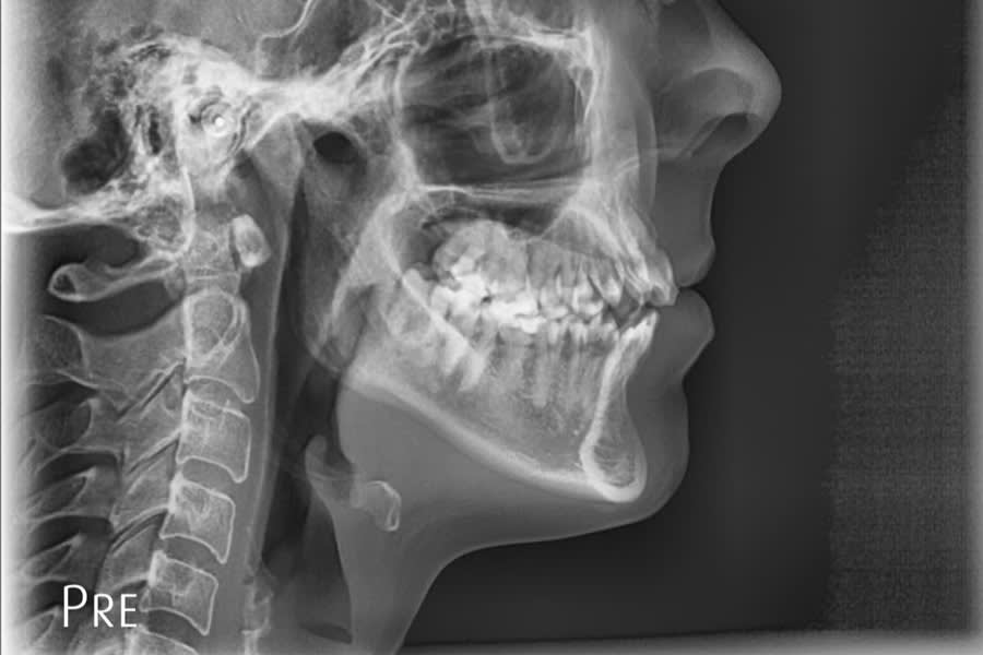
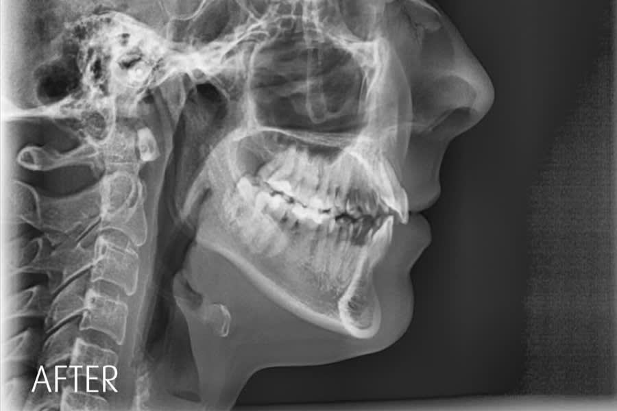
Panoramic/cephalometric re-evaluation is used to document posterior intrusion without root resorption or sinus compromise, improved upper incisor angulation in bone, lip profile changes consistent with CCW autorotation, and favorable skeletal parameters.7,17-21 (Figure 18 through Figure 21)
Discussion
The AFGTP sequence helps de-risk complex open-bite care in several ways. First, it protects smile esthetics in high-display faces via posterior rather than anterior intrusion. Second, it leverages skeletal anchorage with aligners to achieve vertical control. Third, the protocol aligns functional envelopes with the final occlusion, and, lastly, it secures periodontal stability in thin phenotypes with CTG where indicated. While evidence supports posterior intrusion with skeletal anchorage and careful torque control, individual variability (eg, airway behavior, soft-tissue dynamics) necessitates interdisciplinary planning and meticulous retention.1-8,12-21
Conclusion
A structured AFGTP approach, encompassing airway, dentofacial, functional/biomechanical, and periodontal aspects, guides the selection of posterior intrusion with TADs and aligners in complex open-bite cases. This strategy helps preserve anterior esthetics, restores function, and supports long-term stability when paired with soft-tissue management and retention.
ABOUT THE AUTHOR
Christian Leonhardt, DMD, MSc
Private Practice, Augsburg, Germany
References
1. Prot WR, Fields HW. Contemporary Orthodontics. 5th ed. St. Louis, MO: Mosby/Elsevier; 2013.
2. Cozza P, Mucedero M, Baccetti T, Franchi L. Early orthodontic treatment of skeletal open-bite malocclusion: a systematic review. Angle Orthod. 2005;75(5):707-713.
3. Kim SH, Choi YJ, Hwang CJ. Contemporary orthodontic diagnosis and treatment planning with an emphasis on adult patients. Dent Clin North Am. 2013;57(1):107-128.
4. Sarver DM. The importance of incisor positioning in the esthetic smile: the smile arc. Am J Orthod Dentofacial Orthop. 2001;120(2):98-111.
5. Kokich VO Jr, Kiyak HA, Shapiro PA. Comparing the perception of dentists and lay people to altered dental esthetics. J Esthet Dent. 1999;11(6):311-324.
6. Peck S, Peck L, Kataja M. The gingival smile line. Angle Orthod. 1992;62(2):91-100.
7. Coachman C, Calamita MA, Sesma N. Dynamic documentation of the smile and the 2D/3D digital smile design process. Int J Periodontics Restorative Dent. 2017;37(2):183-193.
8. Lin JC, Yeh CL, Liou EJ, Bowman SJ. Treatment of skeletal-origin gummy smiles with miniscrew anchorage. J Clin Orthod. 2008;42(5):285-296.
9. Wang YC, Ko EW, Huang CS, Chen YR. The inter-relationship between mandibular autorotation and maxillary LeFort I impaction osteotomies. J Craniofac Surg. 2006;17(5):898-904.
10. Kassem HE, Marzouk ES. Prediction of changes due to mandibular autorotation following miniplate-anchored intrusion of maxillary posterior teeth in open bite cases. Prog Orthod. 2018;19(1):13.
11. Arnett GW, Gunson MJ. Facial planning for orthodontists and oral surgeons. Am J Orthod Dentofacial Orthop. 2004;126(3):290-295.
12. Kassab MM, Cohen RE. The etiology and prevalence of gingival recession. J Am Dent Assoc. 2003;134(2):220-225.
13. Hürzeler MB, Weng D. A single-incision technique to harvest subepithelial connective tissue grafts from the palate. Int J Periodontics Restorative Dent. 1999;19(3):279-287.
14. Zucchelli G, De Sanctis M. Treatment of multiple recession-type defects in patients with esthetic demands. J Periodontol. 2000;71(9):1506-1514.
15. Zuhr O, Rebele SF, Schneider D, et al. Tunnel technique with connective tissue graft versus coronally advanced flap with enamel matrix derivative for root coverage: a RCT using 3D digital measuring methods. Part I: clinical and patient-centered outcomes. J Clin Periodontol. 2014;41(6):582-592.
16. Sculean A, Gruber R, Bosshardt DD. Soft tissue wound healing around teeth and dental implants. J Clin Periodontol. 2014;41(suppl 15):S6-S22.
17. Baumgaertel S, Hans MG. Buccal cortical bone thickness for mini-implant placement. Am J Orthod Dentofacial Orthop. 2009;136(2):230-235.
18. Carrillo R, Rossouw PE, Franco PF, et al. Intrusion of multiradicular teeth and related root resorption with mini-screw implant anchorage: a radiographic evaluation. Am J Orthod Dentofacial Orthop. 2007;132(5):647-655.
19. Sarul M, Minch L, Park HS, Antoszewska-Smith J. Effect of the length of orthodontic mini-screw implants on their long-term stability: a prospective study. Angle Orthod. 2015;85(1):33-38.
20. Kois JC. Altering gingival levels: the restorative connection. Part I: biologic variables. J Esthet Restor Dent. 1994;6(1):3-7.
21. Spear F. The maxillary central incisor edge: a key to esthetic and functional treatment planning. Compend Contin Educ Dent. 1999;20(6):512-516.