Abstract: The establishment of a glide path remains a cornerstone in endodontic practice, providing a predictable trajectory for canal instrumentation and reducing the risk of procedural errors. However, advancements in single-file reciprocating nickel-titanium systems have broadened clinical versatility and improved mechanical performance. Recent developments in heat treatment technology and the introduction of smaller file sizes have enhanced both flexibility and cutting efficiency. As a result, these instruments may be utilized effectively without the prior creation of a glide path, as demonstrated in the present case report. Ultimately, the decision to establish or omit a glide path should be based on sound clinical judgment, the characteristics of the instrument system, and the operator’s experience.
A fundamental concept in root canal treatment is the establishment of a glide path, a preparatory step designed to facilitate subsequent canal instrumentation. This article reviews the clinical significance of the glide path, its impact on endodontic outcomes, and the growing clinical interest in employing reciprocating single-file systems without prior glide path creation.
The glide path is defined as a smooth, reproducible, and continuous tunnel extending from the canal orifice to the apical constriction. It constitutes the initial mechanical preparation of the canal system, ensuring the unobstructed progression of shaping instruments during subsequent procedural steps. Typically, it is established using small stainless-steel hand files (eg, #10 or #15 K-files) or specialized rotary/reciprocating instruments engineered for this purpose.1
By creating a predictable and centered path, the clinician minimizes the risk of canal transportation, ledging, or perforation while also reducing the chances of instrument fracture. In the absence of a glide path, torsional stress on nickel-titanium (NiTi) instruments—particularly non–heat-treated alloys—may increase, predisposing them to separation.2
Reciprocating Endodontic Single-File Systems
Reciprocating single-file systems have become increasingly popular due to their efficiency and simplified approach to root canal preparation. These instruments function through alternating cutting and releasing motions—back-and-forth rotations with unequal angles—resulting in a noncontinuous rotation that decreases cyclic fatigue and mechanical stress on the file.3
The design of these systems allows for effective cleaning and shaping while maintaining canal anatomy and reducing the risk of deformation. Notable examples include WaveOne®, Reciproc, EdgeOne Fire™, and EdgeOne Blaze Utopia™ (EdgeEndo, edgeendo.com).
Unlike traditional multi-file rotary techniques, which require sequential enlargement, reciprocating single-file systems are engineered to perform complete shaping with a single instrument, thereby reducing procedural complexity and time.4 Most reciprocating files feature variable taper designs, which optimize dentin removal in the coronal and middle thirds while preserving more dentin apically. Variations in cross-sectional geometry, rake angle, and heat treatment directly influence their cutting efficiency, flexibility, and resistance to cyclic fatigue.3
The Debate: Using Reciprocating Files Without a Glide Path
Traditionally, glide path creation was regarded as an essential prerequisite for canal shaping—even when using reciprocating files.5-7 However, with advancements in file design, metallurgy, and reciprocation kinematics, many clinicians have begun to question its necessity. Proponents of glide path–free instrumentation cite several practical and procedural benefits:
Time efficiency—Eliminating the glide path step shortens overall chairtime. Creating a glide path with small hand files can be tedious and time-consuming, whereas omitting it streamlines treatment and enhances patient comfort.8
Simplified workflow and reduced cost—Modern reciprocating files, such as EdgeOne Blaze Utopia, are designed to efficiently navigate canal curvatures and irregularities without the need for prior glide path establishment. The introduction of smaller file sizes like the EdgeOne Blaze Utopia R20 (Figure 1) has expanded this technique’s clinical applicability by reducing torsional load and increasing flexibility even in moderately complex canals.1,8
Minimalist approach—For experienced clinicians, the simplified single-file approach is appealing. The unique reciprocating motion and metallurgy of contemporary systems allow adequate shaping without a preliminary glide path, particularly in straight or mildly curved canals. Smaller instruments (eg, R20) enhance safety and minimize dentin removal, yielding a more conservative preparation.3,9
Clinical effectiveness in selected cases—Glide path–free instrumentation can be highly effective in wide or minimally curved canals, where the risk of procedural complications is low. Moreover, with proper technique and torque control, a crown-down strategy can make this approach feasible even in molar cases with moderate curvature.10
Case Report
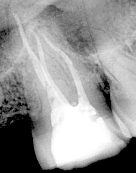
A 55-year-old patient presented for endodontic therapy with a diagnosis of irreversible pulpitis affecting a maxillary premolar. Radiographic assessment revealed partially calcified canal trajectories, suggesting chronic pulp inflammation (Figure 2). After conventional access and irrigation with Dual Rinse® (1.5% sodium hypochlorite [NaOCl] combined with a chelating agent compatible with NaOCl) (Medcem GmbH, medcem.eu), an EdgeOne Blaze Utopia R20 file was selected for canal preparation.
The file was introduced into the canal until initial resistance was encountered, then activated using a reciprocating motion in 1-mm increments. After each cycle, the instrument was removed and cleaned, and irrigation was repeated. This sequence progressively enlarged the coronal and middle thirds, facilitating apical access.
Working length was then determined using a #10 K-file and an apex locator. Subsequent anticurvature flaring with brushing motion further optimized canal geometry. This crown-down approach minimized instrument stress, improved irrigant exchange, and enhanced apical control.
Apical shaping was achieved through short, controlled movements and copious irrigation, reducing debris accumulation and apical blockage. The R20’s flexibility, variable taper, and cutting efficiency enabled precise shaping and easy cone fitting with F1-compatible gutta-percha (Figure 3).
Effective for Molar Cases
In narrow, curved, or partially calcified canals, progression may be limited. It is advisable not to force the instrument but to increase coronal flaring or establish a manual glide path to size 20 before reattempting apical progression. In most molar cases, however, the described glide path–free crown-down technique allows safe and effective shaping (Figure 4 and Figure 5).
Conclusion
Establishing a glide path remains an integral principle in endodontic practice, offering a predictable route for canal instrumentation and minimizing procedural complications. Nevertheless, technological advancements in reciprocating NiTi systems, such as improvements in metallurgy, heat treatment, and instrument design, have expanded clinical flexibility.
While omitting the glide path can enhance efficiency and streamline the workflow, clinicians must evaluate case complexity, canal anatomy, and their familiarity with the selected file system. For many practitioners, a balanced approach—creating a glide path only in challenging canals while using reciprocating single-file systems for most cases—may provide the safest and most efficient outcome.
Ultimately, the decision to incorporate or forgo a glide path should be guided by clinical judgment, instrument selection, and the operator’s experience.
To request a product sample for evaluation, please visit: https://edgeendo.com/product-evaluation/
DISCLOSURE
This article was commercially supported by EdgeEndo.
ABOUT THE AUTHOR
Gianluca Gambarini, MD, DDS
Endodontics Professor, Director of Masters in Endodontics, Sapienza University of Roma, Rome, Italy; Private Practice limited to Endodontics, Rome, Italy
References
1. Berutti E, Cantatore G, Paolino D. Glide path preparation and apical root canal shaping: the use of reciprocating files. J Endod. 2009;35(12):1767-1770.
2. Berman LH, Kafas GA. Endodontic procedural errors and file breakage: a review. Int Endod J. 2009;42(7):533-539.
3. Kavalerski LA, Luzi A. The effectiveness of reciprocating endodontic files in shaping and cleaning root canals. J Endod. 2013;39(5):537-540.
4. Gulabivala K, Palamara JE, Fong S. Factors affecting the cleaning and shaping of the root canal system. Endod Topics. 2014;33(2):22-37.
5. Gambarini G, Testarelli L, Galli M. The role of glide path in the reduction of procedural errors in endodontics. Endod Topics. 2008;19(1):70-79.
6. Paqué F, Faus-Matoses V. The role of glide path creation in reciprocating endodontic systems. J Endod. 2010;36(5):1-9.
7. Ruddle CJ. Glide path management with reciprocating endodontic files. Endod Pract. 2010;6(2):12-18.
8. Abdel-Kader A, Reddy J, Venkatesh S. Time efficiency and clinical outcomes of glide path preparation with reciprocating files. J Endod. 2017;43(6):988-994.
9. Chávez de Paz LE, Siqueira JF. Microbiological analysis and outcomes of root canal therapy using reciprocating files without a glide path. J Endod. 2011;37(3):395-400.
10. Kim SK, Lee CH, Lee YH. The risk of file breakage without glide path. Int Endod J. 2007;40(1):67-72.